Video

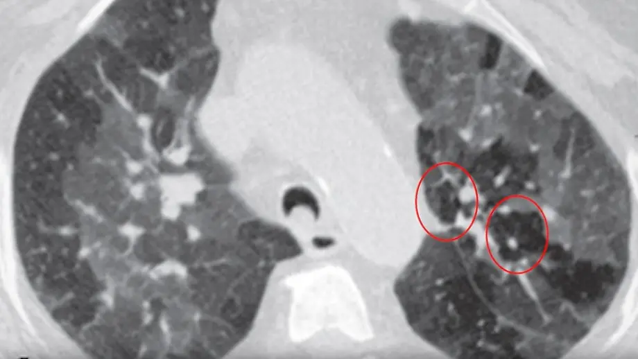
"Geht keine Luft mehr rein und raus"Vapen kann zu gefährlicher "Popcornlunge" führen
16.08.2025, 15:02 UhrVapen hat sich bei vielen, gerade jungen, Erwachsenen als beliebte Alternative zu klassischen Zigaretten etabliert. Doch der Inhaltsstoff Diacetyl kann eine sogenannte "Popcornlunge" verursachen. Lungenarzt Dr. Matthias Krüll erklärt das gefährliche Phänomen.
Topvideos