Japan warnt nach Infektion Was ist Tsutsugamushi?
05.04.2011, 13:28 Uhr
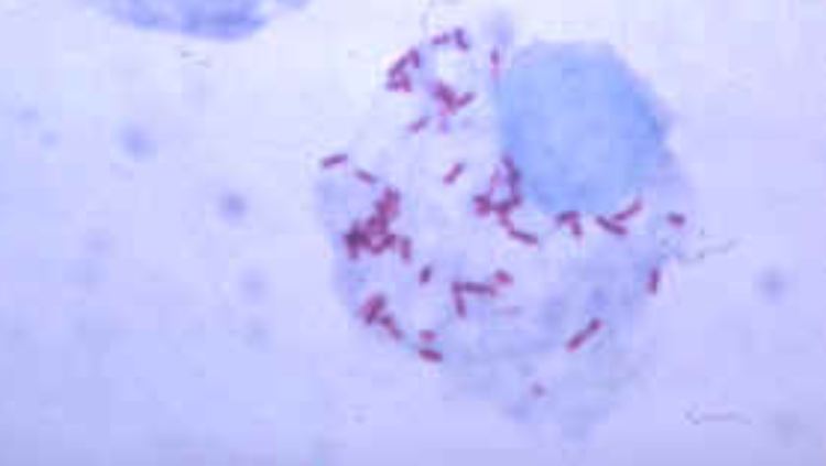
Eine mikroskopische Aufnahme des Rickettsia rickettsii in seiner Wirtszelle.
Das Institut für Infektionskrankheiten in Japan warnt die Bevölkerung vor einer gefährlichen Milbenart, die durch Erdbeben und Tsunami in Gegenden gelangt sein könnte, die nie zuvor mit dem Krankheitserreger zu tun hatten. Die Rede ist von der Tsutsugamushi-Milbe.
Tsutsugamushi-Fieber ist eine Infektionskrankheit, die vor allem in Ost- und Südostasien sowie Nordaustralien verbreitet ist und tödlich enden kann. Sie gehört zu den sogenannten Tropenkrankheiten und verläuft mit hohem Fieber, Kopf- und Gliederschmerzen sowie Hautausschlägen. In den Risikogebieten erkranken jährlich etwa eine Million Menschen daran.
Tsutsugamushi-Fieber wird durch Milben übertragen, die selbst mit Bakterien infiziert sind. Die Bakterien sind bewegungslos und siedeln sich vor allem im Darm von Milben an. Diese Milben leben in freier Natur auf niedrig wachsenden Pflanzen, aber auch in Reisfeldern, knapp über dem Boden. Die Krankheit wird deshalb auch als "Scrub typhus" (Gestrüpp-Thyphus) bezeichnet.
Milben übertragen die Erreger
Mit einem Biss der Milbe bzw. ihrer Larve können die Bakterien auf Nagetiere, Vögel und Hunde, aber auch auf Menschen übertragen werden. An der Bissstelle kann sich nach einigen Tagen ein Knötchen bilden, welches sich im weiteren Verlauf zu einem schmerzhaften Geschwür entwickelt. Nach 6 bis 21 Tagen bricht die Krankheit ganz plötzlich aus. Fieber, das bis über 40 Grad Celsius ansteigen kann, Kopf- und Gliederschmerzen sowie angeschwollene Lymphknoten gehören zu den Symptomen. In einem Drittel der Fälle kommt es zu einer Minderung des Hörvermögens. Erkrankte fühlen sich sehr schlecht und sind oftmals sogar verwirrt. Dazu kommt ein kleinfleckiger Hautausschlag, der sich über den ganzen Körper - sogar über Handflächen und Fußsohlen - verteillt. Ohne Therapie dauert das Tsutsugamushi-Fieber zwei bis drei Wochen.
Bei schweren Verläufen können zusätzlich Entzündungen des Herzmuskels, der Lunge oder des Gehirns entstehen. Alle drei Entzündungserkrankungen können bleibende Schäden hinterlassen und im schlimmsten Falle zum Tod führen. Bei Kindern konnte bisher ein milderer Krankheitsverlauf beobachtet werden als bei Erwachsenen.
Weniger Todesfälle
Vor dem Einsatz von Antibiotika in Südostasien starben rund 40 Prozent der Erkrankten an Tsutsugamushi-Fieber. Es ist heute durch einen Bluttest gut zu diagnostizieren, wenn man gezielt nach den Antikörpern sucht. Außerdem kann es gut mit Antibiotika behandelt werden. Je früher mit der Antibiotika-Therapie begonnen wird, umso schneller geht es dem Erkrankten besser. In der Regel werden Menschen mit Tsutsugamushi-Fieber ins Krankenhaus eingewiesen und dort therapiert. Nach bisherigem Wissensstand erlangt man nach einer Infektion eine Immunität von höchstens einem Jahr. Eine direkte Ansteckung von Mensch zu Mensch ist nicht möglich.
Es gibt bisher weder eine Impfung noch ein wirksames Insektenschutzmittel, die vor den Bissen der Milbe schützen können. In Risikogebieten ist es ratsam, sich mit Kleidung wie Stiefeln oder hohen Schuhen, langen Hosenbeinen und langen Ärmeln vor den Milbenlarven zu schützen.
Quelle: ntv.de