Revolution bei Tumor-OPs Laser findet krebskrankes Hirngewebe
28.08.2015, 09:56 Uhr 
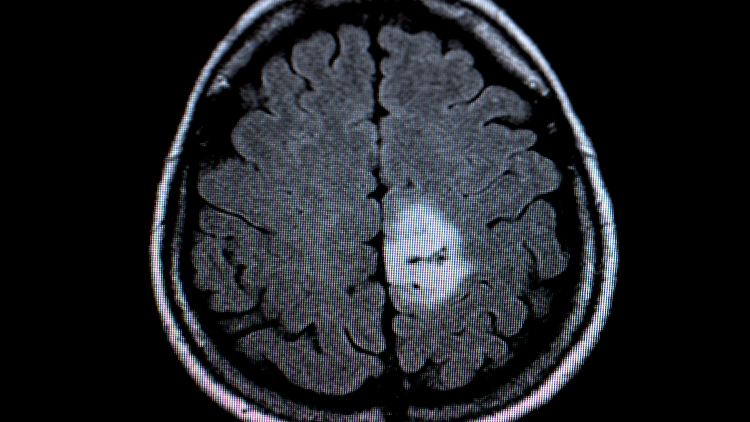
		                      MRT-Bild des Gehirntumors (heller Fleck).
(Foto: dpa)
Die Operation eines Hirntumors ist besonders schwierig und heikel. Weil krankes Gewebe im Labor anhand von Proben identifiziert werden muss, vergeht viel kostbare Zeit. Eine neue Licht-Technik macht das überflüssig.
Chirurgen haben erstmals in Europa einen Patienten mit einer Lasertechnik behandelt, die während einer Gehirntumor-Operation krebskrankes von gesundem Gewebe unterscheidet. Anhand der Reflexion der Strahlen konnten die Londoner Ärzte in Sekundenschnelle erkennen, wo das Gehirn von Krebs befallen ist. Dadurch wissen sie, wo sie schneiden sollen.
Bisher müssen dafür während der Operation Gewebeproben im Labor untersucht werden. Das fällt nun weg. "Das gibt uns einen offensichtlichen Vorteil bei der Geschwindigkeit", sagte Neurochirurg Babar Vaqas, der den Versuch am Charing Cross Hospital leitete, der BBC. Die Methode wurde dem Sender zufolge sonst nur im kanadischen Montreal getestet.
Patient erholt sich gut
Der Patient, ein 22 Jahre alter Physiker, der selbst mit der Lasertechnik forscht, erholt sich dem Bericht zufolge gut. Während der Operation an seinem Gehirn wandten die Ärzte eine weitere Methode an, die noch relativ neu ist: Ein "iKnife" genanntes Skalpell, das beim Schneiden Rauch erzeugt. Eine Maschine analysiert diesen sofort und liefert Informationen über Veränderungen des Gewebes.
"Kranke und gesunde Gewebe haben unterschiedliche Signaturen", erklärte Martina Schnölzer vom Deutschen Krebsforschungszentrum in Heidelberg, die die neuen Methoden für sinnvoll hält. "Das können Lipide sein oder Proteine, die in krankem Gewebe häufiger oder seltener vorkommen." Der Laser und das "iKnife" stützten sich auf diese Unterschiede. Faszinierend sei, dass die Analyse in Echtzeit geschehe, während herkömmliche Methoden Zeit bräuchten: "Das ist ein Riesenvorteil." Gut sei außerdem, dass man beide Methoden parallel anwenden und die Ergebnisse miteinander vergleichen könne.
Insbesondere bei Operationen am Gehirn ist es den Londoner Ärzten zufolge wichtig, ausschließlich krankes Gewebe zu entfernen, da der Eingriff sonst schwere Folgen für die Patienten haben kann. Die Untersuchung am entblößten Gehirn mit gebündeltem Licht ist nicht-invasiv, es muss dazu also nicht ins Gewebe geschnitten werden. Zur Analyse der Lichtreflexion wird die sogenannte Raman-Spektroskopie angewandt, mit der Materialeigenschaften etwa auch von Kunstwerken untersucht werden.
Quelle: ntv.de, abe/dpa
 
		                             
		                             
		                             
		                             
		                             
		                             
		                            