Erster Zika-Fall im Raum ParisFrau infiziert sich durch Sex

Erstmals wird ein Zika-Fall in Frankreich bekannt. Offenbar wurde der Virus durch Sexualkontakt übertragen. Der infizierten Frau geht es nach Angaben der französischen Gesundheitsministeriums aber gut.
Aus Frankreich wird ein erster Zika-Fall gemeldet, bei dem sich die Patientin über Sexualkontakt bei ihrem Partner angesteckt hat. Gesundheitsministerin Marisol Touraine bestätigte dies bei einem Besuch im Übersee-Département Französisch-Guyana. Das Paar lebe im Großraum Paris, hieß es aus dem Umfeld des Ministeriums.
Die Frau ist laut Touraine nicht schwanger. Sie infizierte sich bei ihrem Partner, nachdem dieser aus Brasilien zurückgekommen war. Der Frau geht es nach Angaben aus dem Gesundheitsministerium gut, sie musste nicht ins Krankenhaus.
Die USA hatten bereits Anfang Februar einen Fall bestätigt, bei dem das Zika-Virus durch Sexualkontakt weitergegeben worden war. Hauptübertragungsweg ist jedoch der Stich durch Mücken.
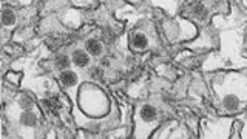
Das Zika-Virus ist vor allem für Schwangere gefährlich. Es besteht der Verdacht, dass dadurch Mikrozephalie bei Babys ausgelöst wird. Der Kopf der betroffenen Kinder ist deutlich zu klein und die Gefahr groß, dass dies zu dauerhaften Behinderungen führt. Ob es wirklich einen Zusammenhang zwischen dem Virus und der Mikrozephalie gibt, ist bislang nicht wissenschaftlich erwiesen.
Besonders betroffen von der Zika-Epidemie ist Brasilien. Die Zahl der Zika-Infektionen wird dort auf 1,5 Millionen geschätzt. Aber auch aus Kolumbien werden viele Fälle gemeldet. Die Gesundheitsbehörden des Landes gaben am Samstag neue, erneut höhere Zahlen bekannt. Demnach sind nun 42.706 Zika-Fälle in Kolumbien gemeldet, davon 7653 schwangere Frauen.