Nadel im Kopf entdecktÄrzte vermuten Tötungsversuch vor 80 Jahren

Immer wieder werden bei Untersuchungen mit bildgebenden Verfahren Fremdkörper im menschlichen Körper entdeckt. Bei einem Fall in Russland ist es eine Nadel im Kopf. Die Erklärung der betreuenden Mediziner lässt einen erschaudern.
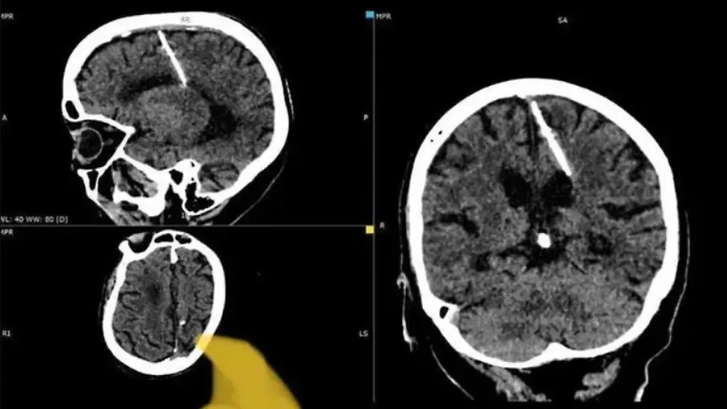
Bei einer ärztlichen Untersuchung sind Mediziner in Russland vermutlich einem Jahrzehnte zurückliegenden Mordversuch auf die Spur gekommen. Im Gehirn einer 80-jährigen Frau entdeckten die betreuenden Radiologen eine drei Zentimeter lange Nadel, teilten die örtlichen Gesundheitsbehörden mit.
Das Gesundheitsministerium der Region Sachalin schrieb in einem Telegram-Posting, dass es bei einer Computertomografie zu der Entdeckung gekommen war. Das Ministerium gab nicht genau an, wann die Ärzte den Fund gemacht haben, wies aber darauf hin, dass er im Jahr 2023 stattfand.
Die Nadel wurde demnach im linken Scheitellappen der ungenannten Frau gefunden, so das Ministerium. Die Ärzte glauben, dass die 80-jährige Frau das Opfer eines missglückten Kindermordes ihrer Eltern war.
"Keine Seltenheit"
In einer Erklärung vom Mittwoch teilte die örtliche Behörde der abgelegenen Region mit: "Ihre Eltern beschlossen wahrscheinlich, ihr Kind während des Zweiten Weltkriegs zu töten." Solche Fälle seien in den Hungerjahren keine Seltenheit gewesen, hieß es. Der Beschreibung zufolge führten Eltern eine dünne Nadel in die Fontanelle des Babys ein, wodurch das Gehirn geschädigt wurde. Die Fontanelle zog sich schnell zusammen, das Kind starb. In einer Zeit hoher Kindersterblichkeit und schlechterer Untersuchungsmethoden wäre das Verbrechen vermutlich unentdeckt geblieben.
Möglicherweise hatten die Eltern der Frau Probleme, ihr Kind zu ernähren. Während des Zweiten Weltkriegs herrschte in der gesamten Sowjetunion Lebensmittelknappheit, viele Menschen lebten in Hunger und Armut.
"Die Nadel drang in ihren linken Scheitellappen ein, hatte aber nicht die beabsichtigte Wirkung - das Mädchen überlebte", so die örtliche Gesundheitsbehörde. Die Patientin habe nie über Kopfschmerzen aufgrund der Verletzung geklagt und sei auch jetzt nicht in Gefahr. Deshalb werde man auch nicht versuchen, die Nadel zu entfernen, da zu befürchten sei, dass sich ihr Zustand dann verschlimmern könnte. Weshalb die Frau untersucht wurde, wurde nicht mitgeteilt.