Ultraschall zeigt zwei JungtierePanda-Dame im Berliner Zoo ist erneut trächtig

2019 gibt es im Berliner Zoo eine kleine Sensation: Eine Panda-Dame bringt Zwillinge zur Welt. Ultraschallbilder zeigen jetzt, dass Meng Meng erneut Nachwuchs erwartet. Eine Tierärztin warnt allerdings vor verfrühter Euphorie.
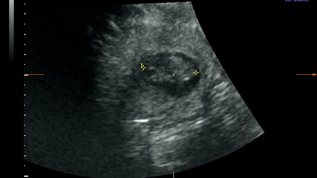
Im Berliner Zoo wird wieder Panda-Nachwuchs erwartet. "Die Babys sind etwa 2,5 Zentimeter groß und müssen jetzt bis zur Geburt noch ordentlich wachsen", sagte Thomas Hildebrandt, Leiter der Abteilung für Reproduktionsmanagement am Leibniz-Institut für Zoo- und Wildtierforschung laut Pressemitteilung. Im Panda Garden sei am Sonntag ein kleiner Jubel ausgebrochen, teilte der Zoo mit.
Die Panda-Dame hatte sich zuletzt nicht besonders kooperativ gezeigt. "Trotz sichtlichen Bauchkneifens" habe Meng Meng sich aber überzeugen lassen, "in den aufrechten Stand zu kommen und das kühle Ultraschall-Gel sowie die Untersuchung mit der Ultraschall-Sonde zu akzeptieren", sagte der Veterinärmediziner, der als internationaler Experte bei der Reproduktion von Großen Pandas gilt. "Eine Untersuchung im Stehen hat schließlich die freudige Nachricht gebracht, dass Meng Meng mit zwei Jungtieren trächtig ist."
Die Freude im Team sei riesig gewesen, weil es schon einige erfolglose Ultraschallversuche gegeben habe, sagte Zootierärztin Franziska Sutter, die ebenfalls an der Untersuchung beteiligt war. "Bei aller Begeisterung müssen wir uns darüber im Klaren sein, dass das ein sehr frühes Stadium der Trächtigkeit ist und eine sogenannte Resorption - also ein Absterben - des Embryos zu diesem Zeitpunkt noch möglich ist", sagte Sutter. Die Tragzeit beträgt bei Großen Pandas in der Regel drei bis sechs Monate.
Die Entwicklung werde mit Ultraschalluntersuchungen und einer Hormonanalyse weiterverfolgt. "Wir hoffen sehr, dass alles genauso gut klappt wie beim letzten Mal 2019." Damals war die erste Panda-Geburt in einem deutschen Zoo überhaupt eine Sensation: Die Zwillinge und einstigen Publikumslieblinge Pit und Paule sind mittlerweile nicht mehr in Berlin.