Flecken statt Kariesschutz Fluorid kann Zahnschmelz schädigen
19.02.2020, 13:32 Uhr
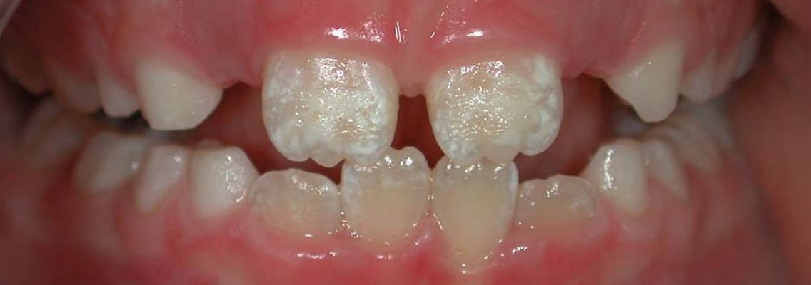
Indische Kinder, die aufgrund des hohen Fluoridgehalts im Wasser in ihrem Dorf von Fluorose betroffen sind - in Deutschland gibt es nach Angaben von Zahnmediziner Zimmer kaum Probleme mit Zahnfluorose.
(Foto: imago/ZUMA Press)
Fluorid ist wichtig bei der Kariesvorbeugung - darum ist es auch in fast allen Zahncremes enthalten. Aber zu viel davon - etwa wenn Kinder zusätzlich Fluoridtabletten nehmen - kann die Zähne schädigen und eine Fluorose zur Folge haben. Dadurch wiederum kann der Zahn anfälliger für Karies werden.
Fluorid schützt Zähne vor Karies, doch eine Überdosis des Minerals kann die Bildung des Zahnschmelzes stören. Im Übermaß stört die Substanz den Kalzium- und den Energie-Stoffwechsel in den zahnschmelzbildenden Zellen, berichten Wissenschaftler im Fachmagazin "Science Signaling". Dies könne zu einer Zahnfluorose führen, bei der sich weiße bis bräunliche Flecken oder Streifen auf dem Zahnschmelz bilden.
Nach Angaben von Zahnmediziner Stefan Zimmer von der Universität Witten/Herdecke gebe es in Deutschland kaum Probleme mit Zahnfluorose. Fluorid sei unterdessen ein wesentlicher Faktor zur Kariesvorbeugung. Die Sorge, über Lebensmittel oder Trinkwasser zu viel Fluorid aufzunehmen, ist in Deutschland nach Ansicht von Zimmer unbegründet. Tritt hierzulande aufgrund einer Überversorgung eine Zahnfluorose auf, sei das in der Regel ein kosmetisches Problem, für das es Behandlungsmöglichkeiten gebe, sagt Zimmer. So sei es möglich, Kunststoff in die betroffenen Bereiche einfließen zu lassen oder die Stellen vorsichtig abzuschleifen und zu versiegeln.
Zu einer Überversorgung kann es zum Beispiel kommen, wenn Kinder zusätzlich zu fluoridhaltiger Zahnpasta Fluoridtabletten nehmen. Eltern sollen sich für einen der beiden Ansätze entscheiden, raten Experten.
Größere Bedeutung: Molaren-Inzisiven-Hypomineralisation
Größere Bedeutung als die Fluorose spiele in der Zahnmedizin seit einigen Jahren eine andere Mineralisationsstörung der Zähne, die Molaren-Inzisiven-Hypomineralisation, kurz MIH. Auch dabei kommt es zu Verfärbungen auf den Zähnen, vor allem auf den Backenzähnen und - weniger stark ausgeprägt - auf den Schneidezähnen. Äußerlich ähnele eine MIH der Zahnfluorose, Fluorid spiele für ihre Entstehung aber keine Rolle, erläutert Zimmer. Die Ursachen sind unklar, diskutiert werden unter anderem Medikamente, Umweltgifte und ein Vitamin-D-Mangel.
Laut aktuellen zahnärztlichen Empfehlungen sollen bei Kindern die Zähne vom Durchbruch des ersten Milchzahns an täglich mit einer fluoridhaltigen Zahnpasta geputzt werden. Experten raten, in den ersten beiden Lebensjahren zwei Mal täglich mit einer reiskorngroßen Menge Zahnpasta mit 1000 ppm Fluorid (Parts per Million) zu putzen. Ab dem zweiten Geburtstag soll dann eine erbsengroße Menge verwendet werden.
Das Fluorid lagert sich in den Zahnschmelz ein und macht ihn härter. Es schützt die Zähne so vor zahnschmelzschädigenden Säuren und damit vor Karies. "Fluorid ist der entscheidende Faktor zur Vorbeugung von Karies, erläutert Zimmer vom Lehrstuhl für Zahnerhaltung und Präventive Zahnmedizin. "Das Putzen mit einer guten Fluorid-Zahnpasta verhindert etwa 40 bis 50 Prozent aller kariösen Läsionen."
Durch Fluorose Zähne anfälliger für Karies
Dass zu viel Fluorid die Zähne schädigen und eine Zahnfluorose hervorrufen kann, ist schon lange bekannt. Dies passiert während der Bildung des Zahnschmelzes, die mit etwa sechs Jahren abgeschlossen ist. Verfärbungen werden mit dem Durchbruch der bleibenden Zähne sichtbar. Bei einer ausgeprägten Fluorose kann der Zahn anfälliger für Karies werden. Was genau im Zahnschmelz passiert, war bisher weitgehend unklar. Die Forscher um Francisco Aulestia vom New York University College of Dentistry untersuchten das Geschehen nun an zahnschmelzbildenden Zellen von Ratten.
Sie gaben zu den Zellen eine hohe Dosis Fluorid. Sie entsprach etwa der, die Menschen in Regionen mit vielen Fluorose-Fällen aufnehmen. In den Zellen kam es daraufhin zu Störungen im Kalziumstoffwechsel. Kalzium ist ein wesentlicher Baustein für stabile Zähne.
Konkret fanden die Wissenschaftler, dass die Aufnahme und Speicherung von Kalzium im sogenannten endoplasmatischen Reticulum abnimmt, ein Zellbereich, der neben der Kalzium-Speicherung zahlreiche Funktionen im Zellstoffwechsel übernimmt. Genetische Analysen zeigten, dass die Aktivität von Genen anstieg, die in diesem Zellbereich mit Stressreaktionen verbunden sind. Auch die Energie-Produktion in den Mitochondrien - den Kraftwerken der Zellen - wurde durch die Fluorid-Überdosis gestört. In Nierenzellen fanden die Forscher diese Reaktionen nicht.
Die Ergebnisse zeigten, wie eine Fluorose auf zellulärer Ebene entsteht, schreiben die Forscher. "Wenn die Zellen Zahnschmelz machen sollen, der viel Kalzium enthält, aber aufgrund eines zu hohen Fluorid-Gehalts bei der Verarbeitung des Kalziums unter Stress geraten, wird sich das auf die Bildung der Zahnschmelz-Kristalle auswirken und die Mineralisierung beeinflussen", erläutert Rodrigo Lacruz, einer der beteiligten Wissenschaftler.
Fluorose in USA viel größeres Problem als in Deutschland
In den USA ist die Fluorose ein viel größeres Problem als in Deutschland. Den Forschern zufolge sind etwa 30 Prozent der Bevölkerung davon betroffen. "In Deutschland kann man etwa von gut 1,5 Prozent ausgehen", sagt Zimmer. Wesentlicher Grund für den Unterschied sei, dass in den USA - und vielen anderen Ländern - das Trinkwasser mit Fluorid versetzt werde. Auch die Kinderzahnpasten dort wiesen einen höheren Fluorid-Gehalt auf.
Fluorid gelangt auch über die Nahrung in den Körper. In Spuren finden sich Fluoride etwa in Vollkornprodukten, Nüssen, schwarzem und grünem Tee, Mineralwasser und Seefisch. Speisesalz ist teilweise mit geringen Mengen Fluorid versetzt und auch Trinkwasser enthält natürlicherweise Fluorid - der Gehalt schwankt mit den regionalen geologischen Gegebenheiten.
Quelle: ntv.de, Anja Garms, dpa