Amöben aus dem LeitungswasserFrau aus Seattle stirbt nach Nasenspülung

Nasenspülungen werden besonders in der kalten Jahreszeit empfohlen. Sie sollen helfen, gesund zu bleiben oder grippale Infekte abzuwenden. Für eine Frau in Seattle führten sie jedoch zum Tod.
Auch für die Ärzte ist der Fall einer Frau aus Seattle eine Besonderheit. Die 69-Jährige wurde nach einem Anfall in die Notaufnahme des Swedish Medical Centers in Seattle eingeliefert. Auf der dann vorgenommenen Computertomografie sahen die Ärzte Veränderungen im Gehirn und gingen zunächst von einem Tumor aus, der am nächsten Tag operiert werden sollte. Bei der Operation sahen die Ärzte jedoch, dass hier ein anderes Problem vorlag.
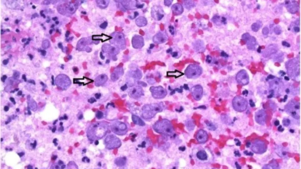
"Als ich die Frau operierte, war ein Abschnitt ihres Gehirns von der Größe eines Golfballs blutiger Brei", schildert Charles Cobbs, der im Krankenhaus arbeitet, der "The Seattle Times". "Überall gab es die Amöben, die gerade Gehirnzellen fraßen. Wir hatten keine Ahnung, was los war", erzählt Cobbs weiter. Proben des vermeintlichen Tumors wurden entnommen und untersucht. Dabei zeigte sich, dass es sich keinesfalls um entartete Zellen handelte, sondern um Amöben, die sich seit rund einem Jahr im Gehirn der Frau befanden.
Die Patientin starb einen Monat später an der sehr seltenen Erkrankung durch Amöben, die höchstwahrscheinlich bei einer Nasenspülung in das Gehirn der Frau gelangten. Die Forscher gehen davon aus, dass die Frau Leitungswasser benutzte, das sie vorher durch einen handelsüblichen Wasserfilter laufen ließ. Dennoch müssen sich die Einzeller der Art Balamuthia mandrillaris in dem Wasser befunden haben und auf diesem Weg erst in die Nase und schließlich in das Gehirn der Frau eingedrungen sein. Dort lösten sie die sogenannte granulomatöse amöbische Enzephalitis aus. Wahrscheinlich hängt die Erkrankung auch mit einem geschwächten Immunsystem, der Genetik und bestimmten Umweltfaktoren zusammen, da eine solche Infektion des Gehirns nur sehr selten vorkommt, mutmaßen die Mediziner.
Symptome falsch gedeutet
Die Frau hatte bereits Monate zuvor eine rote und entzündete Nase, die als Rosazea, eine Hauterkrankung die vor allem in der Mitte des Gesichts auftritt, diagnostiziert wurde. Später kamen andere Beschwerden dazu, die als Nasennebenhöhlenentzündung beschrieben wurden. Die Forscher gehen davon aus, dass die Symptome bereits durch die Amöben hervorgerufen wurden. "Es ist eine unglaublich ungewöhnliche Krankheit, die niemand auf dem Schirm hatte", sagte Keenan Piper vom Swedish Medical Center. Um das zu ändern, veröffentlichten die Mediziner die Fallbeschreibung im "International Journal of Infectious Diseases".
Bisher sind drei verschiedene Amöben bekannt, die tödlich verlaufende Gehirninfektionen auslösen können. Balamuthia mandrillaris, mit der die Frau infiziert war, ist dabei die am wenigsten bekannte Art. Eine Infektion damit verläuft im Vergleich zu anderen Amöbeninfektionen eher langsam und führt erst nach Monaten zum Tod.
Insgesamt sind in den USA zwischen 1974 und 2016 109 Infektionsfälle mit Balamuthia bekannt geworden. 90 Prozent der Patienten starben daran. Umweltforscher gehen davon aus, dass die Amöben besonders in warmen Regionen gut gedeihen. Die Erwärmung der Erde bei der Ausbreitung der Einzeller könnte in Zukunft eine Rolle spielen.
Die Ansteckung der Frau mit Amöben ist der erste dokumentierte Fall dieser Art, der mit einer Nasenspülung in Verbindung gebracht wird. Dabei geht die Gefahr nicht von der Nasenspülung an sich, sondern von dem Wasser aus, mit dem die Spülung gemacht wird. Anwender sollten prinzipiell Gebrauchsanweisungen befolgen und darauf achten, nur desinfiziertes oder mindestens drei Minuten lang gekochtes Salzwasser zu benutzen.