Infektionen in GroßbritannienNeue Mpox-Variante erstmals in Europa übertragen

Eine neue Mpox-Variante breitet sich derzeit in Afrika aus. Sie soll ansteckender und gefährlicher sein als ihre Vorgängerin. Nun infizieren sich erstmals Menschen in Europa - und zwar in Großbritannien.
Erstmals haben sich Menschen in Europa mit der neuen Variante des Mpox-Virus angesteckt. Das teilte die Weltgesundheitsorganisation (WHO) mit. In Großbritannien infizierten sich demnach zwei Menschen mit der sogenannten Klade Ib. Sie lebten im gleichen Haushalt wie eine Person, die kurz nach einer Reise in mehrere afrikanische Länder positiv getestet worden sei.
Es handle sich um die ersten lokal übertragenen Mpox-Klade-Ib-Fälle in der europäischen Region der WHO und auch um die ersten außerhalb Afrikas, seit die WHO im August einen internationalen Gesundheitsnotstand ausgerufen habe. Das ist die höchste Alarmstufe, die Behörden in aller Welt zu erhöhter Aufmerksamkeit bringen soll.
Das Risiko für die Menschen in Großbritannien und der Region sei weiter gering, wurde Hans Henri P. Kluge, WHO-Regionaldirektor für Europa, in der Mitteilung zitiert. Die Gesundheitssysteme sollten aber ihre Überwachung verstärken und sich auf die schnelle Ermittlung von Kontaktpersonen bei Verdachtsfällen und bestätigten Fällen vorbereiten.
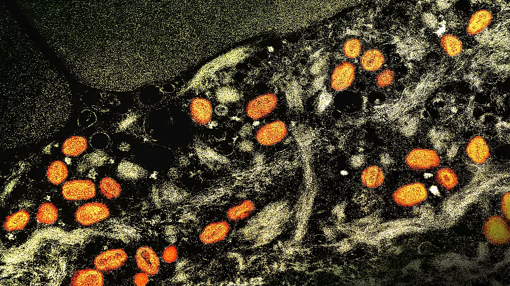
Hautausschlag und Muskelschmerzen
Mpox - früher Affenpocken genannt - werden vor allem beim engen Haut-zu-Haut-Kontakt übertragen, etwa beim Sex oder beim engen Umarmen, Massieren und Küssen. In den vergangenen Monaten gab es Fälle in der Demokratischen Republik Kongo, in Burundi, Ruanda, Uganda und Kenia; zudem infizierten sich Menschen aus Schweden, Indien, Thailand und Deutschland im Ausland. Dazu zählt ein Patient, bei dem der neue Erreger Mitte Oktober in Köln nachgewiesen wurde - der erste Klade-Ib-Infizierte in Deutschland. Infektionen mit der Klade IIb gibt es bereits seit Mai 2022 in vielen Ländern, auch in Deutschland.
Zu den Mpox-Symptomen zählen ein typischer Hautausschlag sowie häufig auch allgemeine Krankheitssymptome wie Fieber, Kopf- und Muskelschmerzen. Tödliche Verläufe sind selten, gerade in Ländern mit guten Behandlungsstandards. Bei Klade Ib treten vermutlich häufiger schwere Krankheitsverläufe auf als bei Klade IIb, und sie soll ansteckender sein. Gesicherte Angaben dazu gibt es allerdings bisher nicht.