Immer mehr Menschen betroffen Wenn Pilzinfektionen tödlich werden
24.01.2024, 16:38 Uhr Artikel anhören
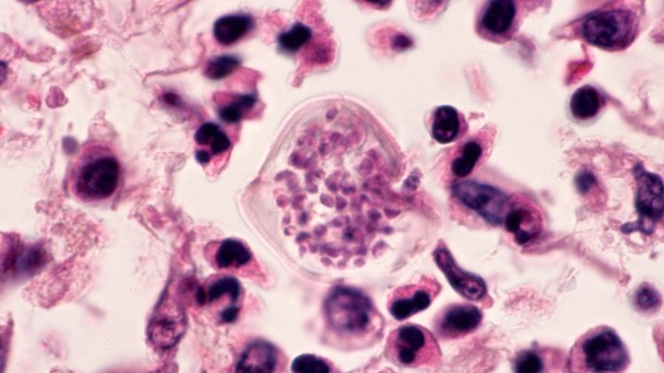
Eine Pilzinfektion der Lunge bleibt bei schwerkranken Patienten oft unerkannt.
(Foto: picture-alliance / OKAPIA KG, Germany)
Sie leben um uns, auf uns und auch in uns: Pilze. Für gesunde Menschen sind die unliebsamen Körperbewohner meist kein Problem. Sobald das Immunsystem allerdings geschwächt ist, kann eine Infektion lebensbedrohlich werden. Eine neue Studie zeigt, dass immer mehr Patienten an einer Pilzerkrankung sterben.
Pilze leben in der Luft, im Boden, im Wasser und sogar im menschlichen Körper. Mit jedem Atemzug nehmen wir Hunderte Sporen auf - zusätzlich zu der Vielzahl an Pilzen auf der Haut, auf den Schleimhäuten oder auch im Darm. Das lässt sich kaum vermeiden: Schätzungsweise besteht ein Viertel der gesamten Biomasse der Erde aus Pilzen, vom Fuß- bis zum Schimmelpilz. Für gesunde Menschen ist das in der Regel ungefährlich, denn die unliebsamen Körperbewohner werden durch das Immunsystem abgewehrt. Ist dieses jedoch geschwächt, kann eine Pilzinfektion lebensgefährlich werden. Und diese Gefahr wird bislang massiv unterschätzt, besagt nun eine neue Studie.
Wie viele Menschen von einer Pilzerkrankung betroffen sind, ist schlecht dokumentiert. Selbst in wohlhabenden Ländern fehlen meist Testmöglichkeiten, werden nicht genutzt oder erkennen eine Infektion nicht zuverlässig. Um Licht ins Dunkel zu bringen, analysierte Infektionsmediziner und Mykologe David Denning von der University of Manchester die Zahlen zu offiziell diagnostizierten Pilzinfektionen aus den Jahren 2010 bis 2023 aus 120 Ländern und verglich diese mit Todeszahlen und Überlebensraten von behandelten und unbehandelten Infizierten. Seine Studie wurde in der Fachzeitschrift "Lancet Infectious Diseases" veröffentlicht.
Das Ergebnis: Weltweit infizieren sich jährlich etwa 6,5 Millionen Menschen mit einem pathogenen Pilz. Rund 3,8 Millionen Menschen sterben infolge einer Pilzerkrankung. Elf Jahre zuvor waren es Denning zufolge noch rund zwei Millionen Todesfälle. Somit hat sich die Zahl der Pilzinfektionen mit Todesfolge innerhalb eines Jahrzehnts nahezu verdoppelt. "Pilze sind den Daten zufolge inzwischen für 6,8 Prozent aller Todesfälle weltweit verantwortlich", schreibt der Studienautor. Damit töten sie sechsmal mehr Menschen als Malaria und dreimal mehr als Tuberkulose.
Gefahr durch resistente Pilze
Pilze seien nicht unbedingt die Auslöser von Krankheiten, schreibt Denning. Aber sie tragen seinen Ergebnissen zufolge zum Tod der vorerkrankten Patienten bei. So seien unerkannte Pilzinfektionen bei lungenkranken Menschen besonders kritisch. Zu den gefährlichsten Pilzen, die die Lunge infizieren, gehören die Schimmelpilze Aspergillus fumigatus und Aspergillus flavus. Denning berechnete, dass etwa 30 Prozent der an Tuberkulose oder einer durchs Rauchen bedingten Lungenerkrankung Verstorbenen zugleich mit einem Pilz infiziert sind. Seinen Schätzungen zufolge sterben 1,8 Millionen Menschen jedes Jahr an den Folgen einer Aspergillus-Infektion.
Weitere potenziell tödliche Erreger sind Pilze der Gattung Candida. "Jährlich sterben weltweit etwa eine Million Menschen an einer Candida-Infektion", so Denning. Im Körper schwer kranker Personen überwinden diese gängigen Darmpilze die Darmwand und dringen in den Blutkreislauf ein, wo sie eine Blutvergiftung verursachen können. "Besonders häufig betroffen sind Patienten mit Diabetes und Nierenversagen sowie Menschen nach einer größeren Operation."
Vor allem der erst 2009 entdeckte Hefepilz Candida auris bereitet Gesundheitsbehörden weltweit Sorgen, denn er breitet sich seit einiger Zeit rasch aus. Für gesunde Menschen ist er meist ungefährlich, aber bei immungeschwächten Patienten, kann "Candida auris eine invasive Kandidose im Blut, Herz, Zentralen Nervensystem, Augen, Knochen und inneren Organen verursachen", schrieb die Weltgesundheitsorganisation (WHO) vor einem Jahr in einem Aufruf, dem Erreger oberste Priorität einzuräumen. Die Mortalität bei der Erkrankung, bei der der Pilz innere Organe befällt, liege zwischen 29 und 53 Prozent. Besonders tückisch: C. auris kann sich von Mensch zu Mensch verbreiten und wird über Schmierinfektion und Oberflächen übertragen. Das kannte man bislang nur von multiresistenten Keimen.
"Pilzinfektionen wurden historisch vernachlässigt"
"Wir müssen Pilze sehr ernst nehmen", mahnt Denning in seiner Studie. Infektionen werde man auch künftig nicht vermeiden können. "Es gibt keine Impfstoffe gegen Pilze und teils auch keine wirksamen Medikamente", so der Experte. Denn ähnlich wie bei Bakterien seien auch Pilze zunehmend resistent gegenüber gängigen Wirkstoffen. Dazu trage unter anderem der Einsatz von Fungiziden in der Landwirtschaft bei. Daher sei es umso wichtiger, dort eine Behandlung zu ermöglichen, wo es wirksame Arzneien gibt. Um eine Ausbreitung zu verhindern, sei eine genaue und zeitnahe Diagnose dringend erforderlich.
Tihana Bicanic, Professorin für Infektionskrankheiten und Mykologie am St.-Georges-Institut der Uni London, zeigte sich wenig überrascht über die Ergebnisse von Denning. "Pilzinfektionen wurden historisch vernachlässigt, verglichen mit dem Fokus auf bakterielle Infektionen und Antibiotika", sagte sie dem britischen "Telegraph". Bicanic war nicht an der Studie beteiligt.
Gleichzeitig warnt die Expertin vor dem übermäßigen Einsatz von Antimykotika, die von Krankenhäusern präventiv eingesetzt werden, beispielsweise bei Knochenmarktransplantationen oder zur Behandlung von Hautinfektionen wie Fußpilz. Sie könnten ebenfalls zur Zunahme resistenter Pilze beitragen. "Im Gegensatz zu Antibiotika haben wir etwa drei Klassen von Antimykotika, die wir häufig bei Patienten einsetzen", sagte sie. "All diese Nutzung übt Druck auf die Pilze aus, ermöglicht es ihnen, sich anzupassen und resistent zu werden- und das ist tatsächlich das, was jetzt passiert."
Quelle: ntv.de