Gehirn selbst nicht infiziertCharité ist der Ursache von Long Covid auf der Spur

Was sind die Ursachen für Long Covid? Eine neue Studie anhand von Autopsieergebnissen der Berliner Charité belegt, dass eine Covid-19-Infektion das Gehirn nicht direkt schädigt. Stattdessen scheint es sich um eine heftige Nebenwirkung zu handeln, die bei manchen Patienten dauerhaft ist.
Manche Menschen leiden auch lange nach ihrer Covid-19-Infektionen an Symptomen wie Kopfschmerzen, Gedächtnisproblemen oder einer krankhaften Erschöpfung (Fatigue), was als Long Covid bezeichnet wird. Die Ursachen dafür sind nach wie vor nicht eindeutig geklärt, was eine gezielte Behandlung der Patienten erschwert. Eine neue Studie der Berliner Charité untermauert jetzt eine Theorie, wonach die neurologischen Probleme eine Art Nebenwirkung der starken Immunreaktion ist, mit der der Körper sich gegen das Virus wehrt.
Zu Beginn der Corona-Pandemie gab es Hinweise darauf, dass Sars-CoV-2 das Gehirn direkt infizieren kann. "Auch wir sind von dieser These zunächst ausgegangen", sagt Helena Radbruch, Leiterin der Arbeitsgruppe Chronische Neuroinflammation am Institut für Neuropathologie der Charité. "Einen eindeutigen Beleg dafür, dass das Coronavirus im Gehirn überdauern oder sich gar vermehren kann, gibt es allerdings bislang nicht. Dazu wäre zum Beispiel ein Nachweis intakter Viruspartikel im Gehirn nötig. Die Hinweise, dass das Coronavirus das Gehirn befallen könnte, stammen stattdessen aus indirekten Testverfahren und sind deshalb nicht ganz stichhaltig."
30 verstorbene Patienten untersucht
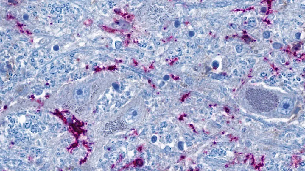
Die Forschungsarbeit der Charité untermauert dagegen die Theorie, dass die neurologischen Symptome eine Art Nebenwirkung der starken Immunreaktion ist, mit der der Körper sich gegen das Virus wehrt. Das Berliner Forscherteam blickte dafür im wahrsten Sinne des Wortes in die Gehirne von Betroffenen. Denn für die Studie führte es Autopsie-Untersuchungen an 21 Menschen durch, die aufgrund einer schweren Corona-Infektion im Krankenhaus verstorben waren, die meisten von ihnen auf der Intensivstation. Zum Vergleich analysierten sie die gleichen Gehirnbereiche bei Menschen, die nach intensivmedizinischer Behandlung anderen Erkrankungen erlegen waren. Die Forschenden hatten dafür bei beiden Gruppen die Erlaubnis der Patienten oder deren Angehörigen erhalten.
Das Team um Helena Radbruch prüfte zunächst, ob das Gewebe sichtbare Veränderungen aufwies, und suchte nach Hinweisen auf das Coronavirus. Dann ermittelten sie durch die Analyse von Genen und Proteinen, welche Vorgänge in einzelnen Zellen vonstattengingen. Tatsächlich fanden die Wissenschaftlerinnen und Wissenschaftler in einigen Fällen Erbgut des Virus im Gehirn.
"Sars-CoV-2-infizierte Nervenzellen haben wir jedoch nicht gefunden", sagt Radbruch. "Wir gehen davon aus, dass Immunzellen das Virus im Körper aufgenommen haben und dann ins Gehirn gewandert sind. Sie tragen noch immer das Virus in sich, es infiziert aber keine Gehirnzellen. Das Coronavirus hat also andere Zellen des Körpers, nicht aber das Gehirn befallen."
Das Gehirn "fühlt mit"
Trotzdem wiesen bei manchen der verstorbenen Covid-19-Patienten Gehirnzellen auffallende Veränderungen auf. Sie zeigten unter anderem eine typische Immunreaktion auf Virusinfektionen. "Einige Nervenzellen reagieren offenbar auf die Entzündung im Rest des Körpers", sagt Christian Conrad. Er ist Chef der Arbeitsgruppe Intelligent Imaging am Berlin Institute of Health der Charité (BIH) und hat die Studie mit Helena Radbruch geleitet. "Diese molekulare Reaktion könnte die neurologischen Beschwerden von Covid-19-Betroffenen gut erklären. Zum Beispiel können Botenstoffe, die diese Zellen im Hirnstamm ausschütten, Fatigue verursachen. Denn im Hirnstamm liegen Zellgruppen, die Antrieb, Motivation und Stimmungslage steuern."
Die Forschenden fanden die veränderten Zellen hauptsächlich im Vagusnerv, der wichtige Organe wie Herz, Lunge und Darm mit dem Gehirn verbindet. "Vereinfacht interpretieren wir unsere Daten so, dass der Vagusnerv die Entzündungsreaktion in unterschiedlichen Organen des Körpers 'spürt' und darauf im Hirnstamm reagiert - ganz ohne eine echte Infektion von Hirngewebe", erklärt Helena Radbruch. "Auf diese Weise überträgt sich die Entzündung gewissermaßen aus dem Körper ins Gehirn, was dessen Funktion stören kann."
Das Puzzlestück, das noch fehlt, ist eine Erklärung dafür, warum nur einige Corona-Infizierte Long Covid entwickeln. Denn wie die Studie zeigte, reagieren Nervenzellen in der Regel nur vorübergehend auf die Entzündungen. "Wir halten es für möglich, dass eine Chronifizierung der Entzündung bei manchen Menschen für die oft beobachteten neurologischen Symptome bei Long Covid verantwortlich sein könnte", sagt Christian Conrad. Um dieser Vermutung weiter nachzugehen, plant das Charité-Team nun, die molekularen Signaturen im Hirnwasser von Long-Covid-Patienten genauer zu untersuchen.