Fortschritt in Brustkrebs-Forschung Stammzellen für Metastasen entdeckt
27.04.2013, 09:32 Uhr
Krebs kann jeden treffen: Auf der Bildschirmdarstellung einer Magnetresonanz-(MR)-Mammographie ist ein winziger Tumor in der Brust einer Patientin zu sehen.
(Foto: picture alliance / dpa)
Deutsche Krebsforscher weisen im Blut von Brustkrebspatientinnen erstmals Krebszellen nach, die Metastasen auslösen können. Diese gefürchteten Tochtergeschwülste im Körper sind Hauptursache für Todesfälle bei Krebserkrankungen.
Wissenschaftler vom Deutschen Krebsforschungszentrum und vom Nationalen Centrum für Tumorerkrankungen (NCT) Heidelberg haben im Blut von Brustkrebspatientinnen erstmals Krebszellen nachgewiesen, die Auslöser für Metastasen sind. Die Metastasen-induzierenden Zellen weisen Merkmale von Krebs-Stammzellen auf und sind durch drei Oberflächenproteine charakterisiert.
Die Wissenschaftler sehen in ihrer Entdeckung gleich zwei gute Nachrichten: Einmal einen vielversprechenden Biomarker für den Verlauf von metastasierendem Brustkrebs – und gleichzeitig mögliche therapeutische Ansätze. Eine große Studie solle folgen, um die Ergebnisse zu bestätigen, kündigte das Deutsche Krebsforschungszentrum (DKFZ) in Heidelberg an.

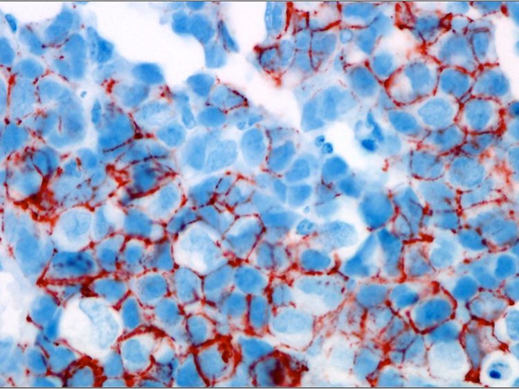
Aus dem Blut von Brustkrebspatientinnen isolierte zirkulierende Tumorzellen bilden eine Metastase im Knochenmark der Mäuse. Der Stammzell-Marker CD44 ist rot gefärbt.
(Foto: Irène Baccelli, DKFZ)
Für ihre Untersuchung haben DKFZ-Forscher bisher das Blut von mehr als 350 Brustkrebs-Patientinnen genau untersucht – gemeinsam mit dem Nationalen Centrum für Tumorerkrankungen, Kollegen vom Institut für Tumorbiologie in Hamburg und dem Pathologischen Institut des Universitätsklinikums Heidelberg. Denn einzelne Krebszelle n, die sich vom Tumor abgelöst haben und in der Blutbahn zirkulieren – sogenannte CTCs – gelten als verantwortlich für die Entstehung von Metastasen. Bisher fehlte allerdings der experimentelle Beweis dafür, dass sich unter den CTCs wirklich "Keimzellen" der Metastasen befinden.
Gefährliche Eigenschaften herausfinden
"Wir waren davon überzeugt, dass unter den verschiedenen zirkulierenden Tumorzellen nur einige wenige in der Lage sind, eine neue Tochtergeschwulst in einem anderen Organ zu bilden", erläutert DKFZ-Forscher Andreas Trumpp. "Denn viele Patienten entwickeln keine Metastasen, obwohl Krebszellen in ihrem Blut zirkulieren." Es ging also darum, ganz besondere Eigenschaften der Krebszellen im Blut herauszufiltern – Eigenschaften, die sie so gefährlich machen.
Für Beweise schalteten die Wissenschaftler einen Tierversuch dazwischen. Anhand bestimmter Oberflächenmoleküle isolierten sie zirkulierende Tumorzellen aus dem Blut und übertrugen sie direkt ins Knochenmark von Mäusen mit defektem Immunsystem. Denn das Knochenmark bietet Krebszellen eine ideale Nische, um sich anzusiedeln. Nach insgesamt mehr als hundert solcher Übertragungen entwickelten tatsächlich einige Tiere Metastasen in Knochen, Lunge und Leber. Damit war bewiesen, dass die CTCs Keimzellen der Metastasen enthalten – wenn auch offenbar nur in geringer Anzahl.
Dreifach-positive Kombination
Was aber macht genau einige Tumorzellen im Blut so viel heimtückischer als alle anderen? In einer systematischen Fahndungsaktion isolierten die Forscher aus den CTCs zunächst Zellen, die ein typisches Eiweiß für Brustkrebs-Stammzellen auf ihrer Oberfläche tragen (CD44). Das Protein hilft der Zelle, sich im Knochenmark festzusetzen. Diese Zellpopulation wurde wiederum nach bestimmten Oberflächenmarkern durchkämmt, die den Zellen beim Überleben in fremdem Gewebe helfen. Dazu zählt beispielsweise ein Signalmolekül, das vor Angriffen des Immunsystems schützt (CD47) sowie einen Oberflächenrezeptor, der die Wanderbereitschaft und Invasionsfähigkeit der Zellen steigert (MET). Mit einem speziellen Gerät suchten sich die Forscher anschließend solche CTCs heraus, die all diese Merkmale in sich trugen (dreifach positiv). Ein erneuter Durchgang im Tierversuch bewies dann, dass es sich bei ihnen tatsächlich um die Ursprungszellen der Metastasen handelte.
Die Blutuntersuchungen der Brustkrebs-Patientinnen scheinen die Gefährlichkeit solcher dreifach-positiven Zellen bisher zu bestätigen. Patientinnen mit einer besonders hohen Zahl dieser Dreier-Kombination hatten besonders viele Metastasen – und eine sehr viel ungünstigere Prognose. "Insgesamt haben die dreifach-positiven Zellen wohl eine wesentlich höhere biologische Relevanz für das Fortschreiten der Erkrankung als die bisher untersuchten CTCs", sagt Andreas Schneeweiss vom Nationalen Centrum für Tumorerkrankungen. Sie könnten deshalb gute Biomarker sein. Die neuen Ergebnisse – und Rückschlüsse - sollen nun in einer großen Studie bewiesen werden.
Substanz hilft bei Lungenkrebs
Bestätigen sich die Annahmen, sei das eine gute Nachricht für Brustkrebs-Patientinnen, sagen die Forscher. Denn gegen CD47 und MET gebe es Gegenmittel. Bei dem Protein CD47 würden therapeutische Antikörper entwickelt, die die Funktion des Moleküls blockieren. Und eine Substanz, die die Aktivität des MET-Rezeptors hemmt, sei bereits zugelassen und zeige gute Wirkung bei einer bestimmten Form von Lungenkrebs. Der Wirkstoff kann möglicherweise auch Brustkrebspatientinnen helfen, bei denen die gefährliche Dreier-Kombination in zirkulierenden Tumorzellen nachgewiesen wird.
Quelle: ntv.de, dpa