Mysteriöse Krankheit Wenn Kinderzähne plötzlich bröckeln
22.05.2017, 12:55 Uhr
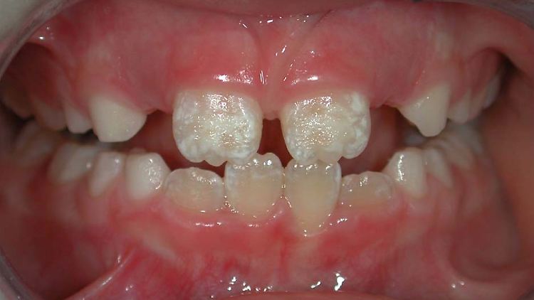
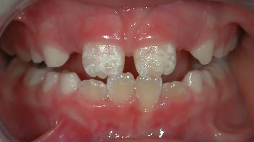
Hier deutlich zu sehen: weißlich-gelbe Flecken auf den oberen Schneidezähnen. Sie sind von einer MIH betroffen.
(Foto: Maurizio Procaccini et al/Wikipedia/CC BY 2.0)
Karies ist unter Kindern kaum noch verbreitet, doch eine andere Zahnkrankheit gibt Rätsel auf: Bei der MIH können Zähne einfach wegbrechen. Angelegt wird die Störung schon im Baby-Alter - oder sogar früher. Was steckt dahinter? Ein Interview.
Knapp ein Drittel aller Zwölfjährigen in Deutschland ist betroffen: Ihre Zähne sind frei von Karies und doch hat mindestens ein Zahn weiße oder gelblich-braune Flecken, ist mitunter stark berührungsempfindlich und bröckelt, wenn es schlimm kommt, einfach weg. Die Krankheit heißt Molaren-Inzisiven-Hypomineralisation, kurz MIH. Das klingt sperrig, beschreibt aber gut, worum es geht: Nie ist das gesamte Kindergebiss von der Krankheit befallen, sondern es sind die ersten bleibenden Backenzähne, die der Zahnarzt Sechsjahrmolaren nennt, sowie die oberen Frontzähne, die Inzisivi. Der Grund für die Beschwerden ist, dass im Zahnschmelz dieser Zähne Mineralien fehlen – daher Hypomineralisation.
Gefahr erkannt, Gefahr gebannt? Nicht ganz. Zwar können Zahnärzte diese für sie recht neue Krankheit inzwischen leicht diagnostizieren und sie wissen, wie sie zu behandeln ist. Doch wieso die MIH so weit verbreitet ist, wie sie sich überhaupt entwickelt, welche Kinder MIH bekommen und welche nicht – all diese Fragen sind noch ungeklärt.
Was man über die MIH weiß, hat uns Prof. Dietmar Oesterreich, Vizepräsident der Bundeszahnärztekammer und niedergelassener Zahnarzt in Mecklenburg-Vorpommern, erklärt:
n-tv.de: Herr Prof. Oesterreich, welche Ursachen sind für die MIH im Gespräch?
Dietmar Oesterreich: Man diskutiert derzeit viele Möglichkeiten. Antibiotika stehen ebenso im Verdacht wie Erkrankungen während der Schwangerschaft, frühkindliche Infektionserkrankungen oder Umweltgifte wie Dioxin. Man ist noch auf der Suche.
In welchem Kindesalter entwickelt sich die MIH?
Sehr früh. Die Erscheinung tritt bereits im Kiefer auf, lange bevor die Zähne überhaupt durchgebrochen sind. Die Backen- und oberen Schneidezähne werden schon in der frühkindlichen Lebensphase, um die Geburt und den ersten Lebensjahren, mineralisiert. Das ist die Phase, in der die MIH angelegt wird. Die Einflussfaktoren sind also während der Schwangerschaft und der frühkindlichen Lebensphase zu vermuten.
Und in welchem Alter wird die Erkrankung dann sichtbar?
Man kann das Phänomen erstmalig beobachten, wenn die bleibenden Backen- und Schneidezähne durchtreten. Das ist etwa zwischen dem fünften und siebten Lebensjahr. Sobald die Zähne zu sehen sind, zeigt sich bei den betroffenen Kindern auch die MIH. Von Anfang an.
Das heißt, ein achtjähriges Kind, das gesunde Zähne hat, kann keine MIH mehr bekommen?
Genau.
Gibt es Ansätze, wie Eltern der Krankheit vorbeugen könnten?
Nein, dazu gibt es derzeit noch keinen klugen Gedanken. Da wir die Ursachen der MIH nicht kennen, können wir auch nicht auf vorbeugende Maßnahmen hinweisen.
Welche Mineralien sind es denn, die den betroffenen Zähnen fehlen?
Der Zahnschmelz besteht vorwiegend aus Phosphaten und Kalzium und vor allem diese Mineralien sind es, die bei einer MIH in der Schmelzbildungsphase fehlen oder nicht ausreichend in den Zahnschmelz eingebaut werden.
Welche Folgen hat das dann für die Zähne?
Das ist unterschiedlich. In den meisten Fällen geht es, Gott sei Dank, nur um die ästhetische Erscheinung. Da stellt man also bräunlich-gelbliche Verfärbungen an den Zähnen fest, die keiner weiteren Behandlung bedürfen. Das ist das Tröstliche. Nur bei einem sehr geringen Prozentsatz, bei etwa fünf Prozent der Kinder, besteht Handlungsbedarf. Dann fehlt der Zahnschmelz stellenweise oder gar komplett, es kann bis hin zum Zahnverlust gehen.
Was macht der Zahnarzt bei einer MIH?
Die Therapie ist im Grunde keine andere als bei einer Karies. Fehlt der Zahnschmelz stellenweise, wird mit Füllungen behandelt. Allerdings wird der Zahn für die Füllung möglichst nicht präpariert, es wird also nicht gebohrt. Denn wenn es geht, verzichtet man auf die weitere Opferung von Zahnsubstanz und versucht vielmehr, den fehlenden Zahnschmelz zu ersetzen – hauptsächlich durch Kunststoff-Füllungen. Ist der komplette Zahn betroffen, muss er mit einer Krone versorgt oder - schlimmstenfalls - gezogen werden. Letzteres ist aber sehr selten der Fall.
Warum betrifft die MIH neben den Backenzähnen und den oberen Schneidezähnen keine weiteren Zähne?
Die Ursachen – welche es auch sein mögen – setzen offenbar genau in der Bildungsphase dieser beiden Zahngruppen an. Später haben die Ursachen nicht mehr die gleichen Auswirkungen. Meist ist es ja nicht nur eine Ursache, sondern es sind mehrere Faktoren, die bei einer Erkrankung zusammenkommen. Aber wenn sie in ihrer Synergie wirken, dann in der Phase, wenn genau diese Zähne gebildet werden.
Seit wann kennen Zahnärzte diese Krankheit?
Seit Beginn der 1980er-Jahre. Es gab zwar vorher schon einzelne Hinweise darauf, aber in der wissenschaftlichen Literatur taucht sie Anfang der Achtziger auf – wobei sie erst seit 2001 einheitlich als Molaren-Inzisiven-Hypomineralisation bezeichnet wird.
Kann es sein, dass es die Krankheit schon viel länger gibt und sie vorher bloß nicht erkannt wurde?
Ja, das ist tatsächlich möglich. Die Mundgesundheit der Kinder ist hervorragend geworden. Wenn man sich etwa die Zwölfjährigen anschaut, bei denen alle bleibenden Zähne durchgebrochen und gut kontrollierbar sind, stellt man fest: Sie haben so gut wie keine Karies mehr. Das war früher anders. Daher kann es gut sein, dass es die MIH auch schon vor den Achtzigerjahren gab, damals aber von Karies kaum zu unterscheiden war oder davon überlagert wurde. Ich bin seit 35 Jahren im Beruf und kann mich an frühe Patienten erinnern, bei denen ich mich fragte, warum ihre Zähne anders als für Karies typisch zerstört waren. Karies entsteht bei Kindern an bestimmten Stellen zuerst und manchmal waren Zahnteile betroffen, bei denen das ungewöhnlich war. Inzwischen sind die Beschreibungen einer MIH sehr viel deutlicher geworden, sodass der diagnostische Blick geschärft ist.
Wie intensiv wird denn jetzt an den Ursachen der MIH geforscht?
Noch nicht besonders intensiv. Dass die Zähne durch eine MIH so stark zerstört sind, dass sie entfernt werden müssen, betrifft nur 0,1 Prozent der Fälle. Verglichen mit der Karies ist eine zerstörerische MIH immer noch ein gering verbreitetes Phänomen. Aber es werden Forschungsansätze gesucht.
In welche Richtung gehen die?
Sinnvoll sind da sicherlich solche, die die Interaktion zwischen Medizin und Zahnmedizin berücksichtigen. Man muss sehr viel stärker auf die Medizin schauen: Welche Erkrankungen stehen rund um die Geburt im Vordergrund? Könnten da bestimmte Medikamente unter Verdacht stehen? Werden die gehäuft eingesetzt? Waren Kinder, die eine MIH entwickelten, von solchen Medikamenten betroffen? Es wird auch diskutiert, ob die MIH ein Hinweis auf das Vorliegen einer Zöliakie ist. Und man muss noch weiter denken: Wenn Umweltaspekte eine Rolle spielen können, muss man sich auch die regionale Situation anschauen. Wo also gibt es besondere Belastungen aus der Umwelt? All diese Aspekte sind bereits angeschnitten worden; wir hoffen sehr, dass sich Wissenschaftler verstärkt darauf stürzen. Allerdings müssen auch bestimmte Industrieunternehmen ein Interesse daran haben. Denn wir wissen ja: Die Finanzierung von Forschung fällt leider nicht vom Himmel.
Mit Prof. Dietmar Oesterreich sprach Andrea Schorsch
Quelle: ntv.de